特殊健診の項目

じん肺健康診断

呼吸器の未来を守る、沈黙の粉塵(ふんじん)リスク検査。

じん肺は、一度発症すると完治が難しい、業務に潜む最も深刻な健康リスクの一つです。

当社の特殊健診は、法令に基づき、専門の医師と設備でじん肺管理区分を正確に判定。過去の作業歴を持つ従業員様も含め、現在進行形の呼吸器リスクを早期に発見します。

適切な管理区分判定は、従業員の命を守り、企業の法的責任と信頼を果たす礎です。
定期的な診断で、安全で健全な労働環境を維持しましょう。

_______________________

じん肺の特殊健康診断は、主に労働安全衛生法やじん肺法に基づき、粉じんにさらされる労働者の肺の状態を検査するために行われます。

実施される主な検査項目は以下の通りです。
(他にも状況に応じて様々な検査を受けていただく場合がございます。)

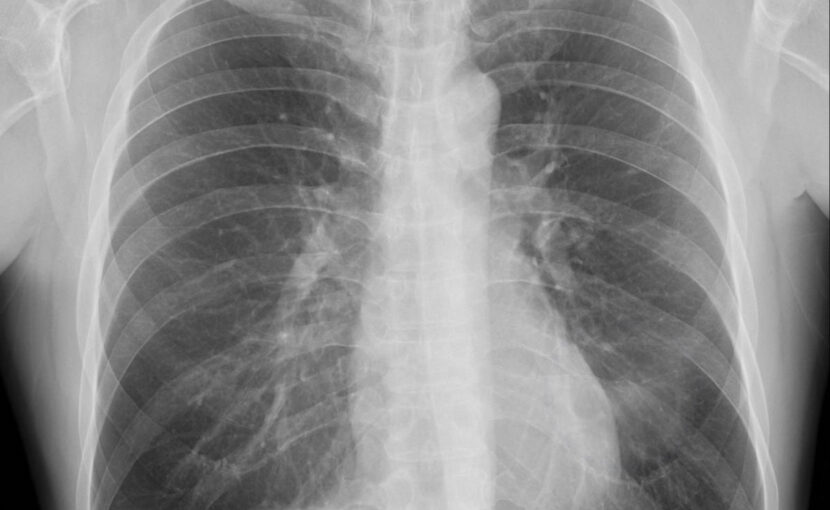
[粉じん作業についての職歴の調査及びエックス線写真による検査]

じん肺用の撮影条件を元に撮影をします。
一般的なレントゲン撮影と同様に息どめ後5秒以内に撮影が完了しますし、放射能も他のレントゲン撮影法に比べて低くなりますので、侵襲性は低いです。

この写真撮影で初見が見られた場合には、各医療機関にて肺機能検査などの追加検査を受けていただきます。

[粉じん作業についての職歴の調査]

受診表に併記されている問診票の内容や、過去の既往歴、職場環境を考慮しながら、医師による問診を受けていただきます。